Whatsapp
Diş Tedavileri Öncesi & Sonrası
+90 552 418 00 33
Dera Dental Clinic
Hakkımızda
Hakkımızda
Kullandığımız Markalar
Tedaviler
Diş İmplantları
Diş İmplantı
All-on-4
All-on-6
Zigomatik İmplant
Eksik Diş Tedavisi
Zirkonyum Kaplama
Köprü Diş
Ortodonti
İnvisalign (Şeffaf Plak)
Gülüş Tasarımı
Kompozit Lamina (Bonding)
Diş Beyazlatma
Lamine Kaplama
Hollywood Smile
Ağız Cerrahisi
20 Yaş Diş Çekimi
Gummy Smile
Kemik Grefti
Diş Onarımı
Kanal Tedavisi
Diş Dolgusu
Ekibimiz
Dr. Ali İlker Baştan
Öncesi & Sonrası
İletişim
Hakkımızda
Tedaviler
Ekibimiz
Öncesi & Sonrası
İletişim
TR
TR
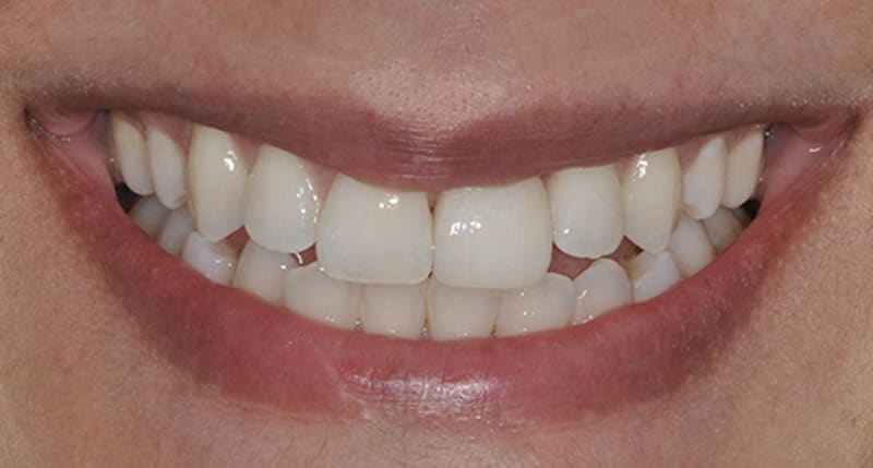
Öncesi
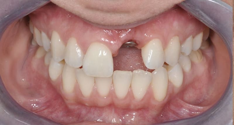
Öncesi
Sonrası
Sonrası
Sanatla buluşan zarafetle gülüşünüzü yeniden tasarlıyoruz.
Diş İmplantı
Zirkonyum Kaplamalar
Kompozit Yapıştırma
all-on-6
All-on-4