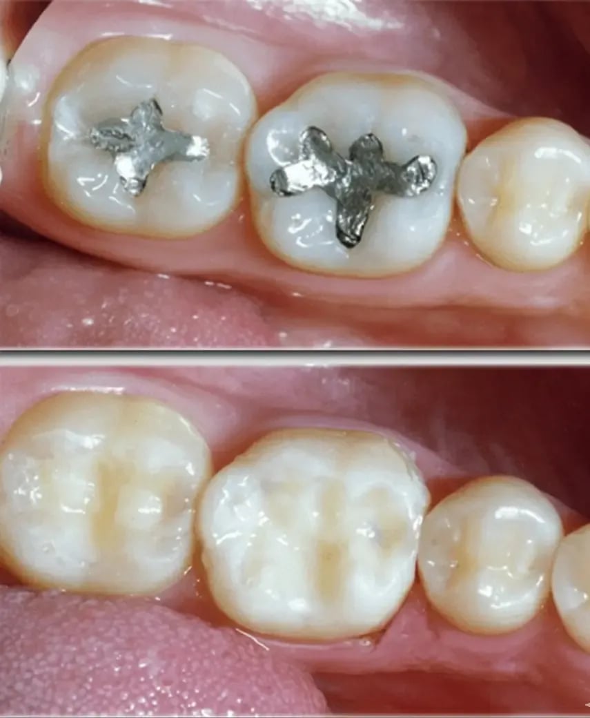
Während sich die klassische Zahnheilkunde meist auf die Lösung lokaler Probleme konzentriert, bewertet die biologische Zahnheilkunde auch die Auswirkungen der verwendeten Materialien und Verfahren auf das Immunsystem, das hormonelle Gleichgewicht und die allgemeine Gesundheit.
Written By

Dr. Ali İlker Baştan
Mund-, Kiefer- und Gesichtschirurg






