



Zahnverlust kann nicht nur unsere körperliche Gesundheit, sondern auch unser Selbstbewusstsein und unser soziales Leben negativ beeinflussen. Glücklicherweise bietet die moderne Zahnmedizin eine dauerhafte und ästhetische Lösung für Personen, die alle ihre Zähne verloren haben oder unter schweren Zahnproblemen leiden: Vollständige Zahnimplantate.
Bei Dera Dental bieten wir erstklassige Behandlungen mit vollständigen Zahnimplantaten in Istanbul zu erschwinglichen Preisen an.
Mit über 25 Jahren Erfahrung ermöglichen unsere hochmoderne Klinik, erfahrene Implantologen und unser personalisierter Behandlungsansatz Ihnen, eine qualitativ hochwertige Versorgung zu deutlich günstigeren Kosten als in Europa oder den Vereinigten Staaten zu erhalten.
In unserer modernen Klinik, in der wir Qualität, Sicherheit und Patientenzufriedenheit in den Vordergrund stellen, sind wir stolz darauf, hochwertige und komfortable Behandlungen mit weltweit anerkannten Implantatmarken und sorgfältig angewandten Sterilisationsprotokollen anzubieten.
In der Dera Dental Klinik verwenden unsere erfahrenen Mund-, Kiefer- und Gesichtschirurgen hochwertige Implantate der A(+)-Klasse wie Straumann. Unsere Zahnimplantat-Eingriffe sind zu 99 % erfolgreich, wobei häufig fortgeschrittene Operationen an Patienten mit unzureichendem Knochenvolumen durchgeführt werden. Neben der Verwendung hochwertiger Implantate, die für erfolgreiche Zahnimplantat-Behandlungen unerlässlich sind, ist ein weiterer wesentlicher Faktor zweifellos ein präziser und erfolgreicher chirurgischer Eingriff. Dieser wird in unserer Klinik von erfahrenen und gut ausgebildeten Ärzten durchgeführt.

Für die Behandlung mit vollständigen Zahnimplantaten müssen unsere geschätzten Patienten Istanbul zweimal besuchen. Jeder Besuch beinhaltet in der Regel einen Aufenthalt von 3 bis 5 Tagen.

Unsere Preise liegen zwischen 5.640 € und 7.950 €, abhängig von der Marke und der Art der von Ihnen gewählten Krone. Stellen Sie Ihr Lächeln wieder her, ohne die Qualität zu beeinträchtigen, die Sie verdienen.

Wir verwenden ausschließlich Zahnimplantatmarken von höchster Qualität. Deshalb bieten wir eine lebenslange Garantie auf unsere Implantate und eine 5-jährige Garantie auf Kronen.





All-on-4 pro Kiefer (einschließlich der definitiven Prothese)
All-on-4 pro Kiefer (einschließlich der definitiven Prothese)
All-on-6 pro Kiefer (einschließlich der definitiven Prothese)
All-on-6 pro Kiefer (einschließlich der definitiven Prothese)






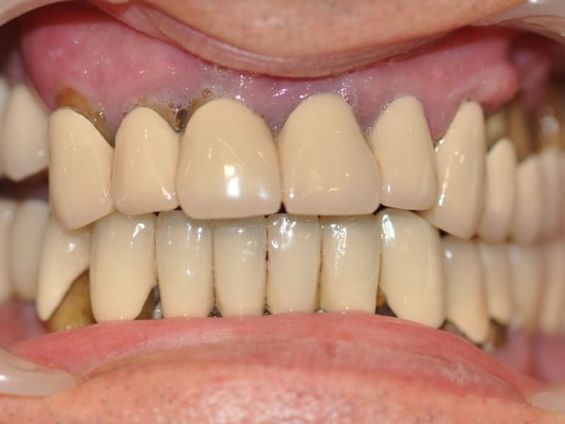
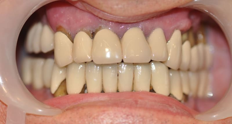
Die Behandlung mit vollständigen Zahnimplantaten ist eine dauerhafte und ästhetische Lösung für Patienten, die alle ihre Zähne im Ober- oder Unterkiefer oder in beiden verloren haben. Für jeden fehlenden Zahn ein einzelnes Implantat zu setzen, kann sowohl kostspielig als auch ungeeignet sein, insbesondere für Patienten mit Knochenschwund. Stattdessen dienen strategisch im Kieferknochen platzierte Titanimplantate als künstliche Wurzeln, an denen festsitzender oder herausnehmbarer Zahnersatz befestigt werden kann.
Dieser Ansatz bietet natürlich aussehende Ergebnisse mit ausgezeichneter Kau- und Sprachfunktion.
Gängige Techniken bei Behandlungen mit vollständigen Zahnimplantaten sind:
All-on-4-Implantate: In jedem Kiefer werden vier Titanimplantate eingesetzt, die eine festsitzende Prothese tragen. Dank der abgewinkelten Platzierung der Implantate erzielt diese Methode auch bei geringem Knochenvolumen erfolgreiche Ergebnisse.
All-on-6-Implantate: In jedem Kiefer werden sechs Implantate eingesetzt, um eine höhere Stabilität und Unterstützung zu bieten. Diese Methode ist ideal für Patienten mit umfangreicherem Knochenschwund.

Die Behandlung mit vollständigen Zahnimplantaten ist eine dauerhafte und ästhetische Lösung für Patienten, die alle ihre Zähne im Ober- oder Unterkiefer oder in beiden verloren haben. Für jeden fehlenden Zahn ein einzelnes Implantat zu setzen, kann sowohl kostspielig als auch ungeeignet sein, insbesondere für Patienten mit Knochenschwund. Stattdessen dienen strategisch im Kieferknochen platzierte Titanimplantate als künstliche Wurzeln, an denen festsitzender oder herausnehmbarer Zahnersatz befestigt werden kann.
Dieser Ansatz bietet natürlich aussehende Ergebnisse mit ausgezeichneter Kau- und Sprachfunktion.
Gängige Techniken bei Behandlungen mit vollständigen Zahnimplantaten sind:
All-on-4-Implantate: In jedem Kiefer werden vier Titanimplantate eingesetzt, die eine festsitzende Prothese tragen. Dank der abgewinkelten Platzierung der Implantate erzielt diese Methode auch bei geringem Knochenvolumen erfolgreiche Ergebnisse.
All-on-6-Implantate: In jedem Kiefer werden sechs Implantate eingesetzt, um eine höhere Stabilität und Unterstützung zu bieten. Diese Methode ist ideal für Patienten mit umfangreicherem Knochenschwund.

Unsere erfahrenen Zahnärzte ermitteln die für Sie am besten geeignete Behandlungsoption auf Grundlage einer detaillierten radiologischen Beurteilung, der Knochenstruktur, des allgemeinen Gesundheitszustands und Ihrer Erwartungen. Wir erstellen einen umfassenden Behandlungsplan, in dem alle Verfahren und Materialien klar aufgeführt sind.
Die Türkei hat sich in den letzten Jahren zu einem globalen Zentrum für Gesundheitstourismus entwickelt – insbesondere im Bereich der Zahnmedizin. Die Wahl von Dera Dental in Istanbul für Ihre Behandlung mit vollständigen Zahnimplantaten bietet erhebliche Vorteile:
Weltklasse-Qualität nach internationalen Standards: Unsere Klinik verwendet modernste Technologie, hochwertige Materialien und ein Team erfahrener Fachleute, um Behandlungen auf dem Niveau globaler Standards zu liefern.
Deutlich niedrigere Kosten als in Europa oder den USA: Sie können bis zu 70 % im Vergleich zu gleichwertigen Behandlungen mit vollständigen Zahnimplantaten in westlichen Ländern sparen.
Hocherfahrene Spezialisten: Unsere erfahrenen Zahnärzte verfügen über mehr als 25 Jahre Erfahrung und sind auf Implantologie spezialisiert, was zuverlässige und erfolgreiche Ergebnisse gewährleistet.
Komfortabler Ablauf mit unterstützenden Dienstleistungen: Wir bieten Behandlungspakete an, die Flughafentransfers und komfortable Unterkunftsmöglichkeiten beinhalten. Während Ihrer Behandlung können Sie auch die reiche Geschichte und Kultur Istanbuls erkunden.

Die Türkei hat sich in den letzten Jahren zu einem globalen Zentrum für Gesundheitstourismus entwickelt – insbesondere im Bereich der Zahnmedizin. Die Wahl von Dera Dental in Istanbul für Ihre Behandlung mit vollständigen Zahnimplantaten bietet erhebliche Vorteile:
Weltklasse-Qualität nach internationalen Standards: Unsere Klinik verwendet modernste Technologie, hochwertige Materialien und ein Team erfahrener Fachleute, um Behandlungen auf dem Niveau globaler Standards zu liefern.
Deutlich niedrigere Kosten als in Europa oder den USA: Sie können bis zu 70 % im Vergleich zu gleichwertigen Behandlungen mit vollständigen Zahnimplantaten in westlichen Ländern sparen.
Hocherfahrene Spezialisten: Unsere erfahrenen Zahnärzte verfügen über mehr als 25 Jahre Erfahrung und sind auf Implantologie spezialisiert, was zuverlässige und erfolgreiche Ergebnisse gewährleistet.
Komfortabler Ablauf mit unterstützenden Dienstleistungen: Wir bieten Behandlungspakete an, die Flughafentransfers und komfortable Unterkunftsmöglichkeiten beinhalten. Während Ihrer Behandlung können Sie auch die reiche Geschichte und Kultur Istanbuls erkunden.

Die Wahl von Dera Dental bedeutet eine sichere, komfortable und erfolgreiche Behandlungsreise:
Weltweit anerkannte Implantatmarken: Wir verwenden hochwertige Implantate von weltweit renommierten Marken wie Straumann, Nobel Biocare und Neodent, die alle für ihre Zuverlässigkeit und Erfolgsraten bekannt sind.
Fortschrittliche Diagnose- und Behandlungstechnologien: Unsere voll ausgestattete Klinik verfügt über digitale Intraoralscanner, 3D-Bildgebungssysteme und moderne Technologie, um eine präzise Diagnose und Behandlung zu gewährleisten.
Personalisierte und umfassende Behandlungsplanung: Jeder Patient erhält einen individuellen Behandlungsplan, der auf seinen einzigartigen Bedürfnissen und Erwartungen basiert und von unseren erfahrenen Zahnärzten erstellt wird.
Erfahrenes und fürsorgliches Team: Unser freundliches Team steht Ihnen während Ihrer gesamten Behandlung zur Seite, beantwortet Ihre Fragen und sorgt für Ihr Wohlbefinden. Wir haben auch mehrsprachiges Personal, einschließlich fließend Englisch sprechender Mitarbeiter, um unsere internationalen Patienten zu unterstützen.


Die Wahl von Dera Dental bedeutet eine sichere, komfortable und erfolgreiche Behandlungsreise:
Weltweit anerkannte Implantatmarken: Wir verwenden hochwertige Implantate von weltweit renommierten Marken wie Straumann, Nobel Biocare und Neodent, die alle für ihre Zuverlässigkeit und Erfolgsraten bekannt sind.
Fortschrittliche Diagnose- und Behandlungstechnologien: Unsere voll ausgestattete Klinik verfügt über digitale Intraoralscanner, 3D-Bildgebungssysteme und moderne Technologie, um eine präzise Diagnose und Behandlung zu gewährleisten.
Personalisierte und umfassende Behandlungsplanung: Jeder Patient erhält einen individuellen Behandlungsplan, der auf seinen einzigartigen Bedürfnissen und Erwartungen basiert und von unseren erfahrenen Zahnärzten erstellt wird.
Erfahrenes und fürsorgliches Team: Unser freundliches Team steht Ihnen während Ihrer gesamten Behandlung zur Seite, beantwortet Ihre Fragen und sorgt für Ihr Wohlbefinden. Wir haben auch mehrsprachiges Personal, einschließlich fließend Englisch sprechender Mitarbeiter, um unsere internationalen Patienten zu unterstützen.
Die Informationen auf dieser Seite dienen nur zu Informationszwecken. Die Situation jeder Person kann unterschiedlich sein; bitte konsultieren Sie für eine persönliche Beratung Ihren Arzt oder unsere Klinik.

Nein. Implantate werden unter örtlicher Betäubung eingesetzt, sodass Sie während des Eingriffs keine Schmerzen verspüren werden. Auf Wunsch bieten wir auch Sedierung und Vollnarkose an. Nach der Operation empfehlen wir Ihnen schmerzlindernde Maßnahmen, damit Sie sich wohlfühlen.
Der erste Besuch, der die Untersuchung und das Einsetzen der Implantate umfasst, dauert in der Regel 4–6 Tage. Ein zweiter Besuch, etwa 3–6 Monate später (nach der Osseointegration), ist erforderlich, um den endgültigen Zahnersatz einzusetzen. Dieser zweite Besuch dauert in der Regel 5 Tage.
Ja. Bei korrekten Operationstechniken, hochwertigen Implantaten und guter Mundhygiene können Zahnimplantate Jahrzehnte, oft ein Leben lang halten. Regelmäßige zahnärztliche Kontrollen und die Befolgung der Hygieneempfehlungen Ihres Zahnarztes sind entscheidend für ihre Langlebigkeit.
Ja. In den meisten Fällen werden am selben Tag oder kurz nach dem Einsetzen der Implantate provisorische Zähne bereitgestellt, sodass Sie während der Wartezeit auf den endgültigen Zahnersatz keine ästhetischen oder funktionellen Einschränkungen haben.
Wir verwenden bewährte, international zugelassene Implantatsysteme wie Straumann, Nobel Biocare und Neodent, die für ihre Qualität und Haltbarkeit bekannt sind.
Ja. Bei unzureichendem Knochenangebot können zusätzliche Eingriffe wie Knochenaufbau oder Sinuslift durchgeführt werden, um eine geeignete Basis für Implantate zu schaffen. Unsere Spezialisten ermitteln nach einer gründlichen Untersuchung den besten Ansatz für Ihre individuellen Bedürfnisse.