



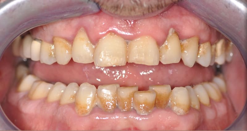
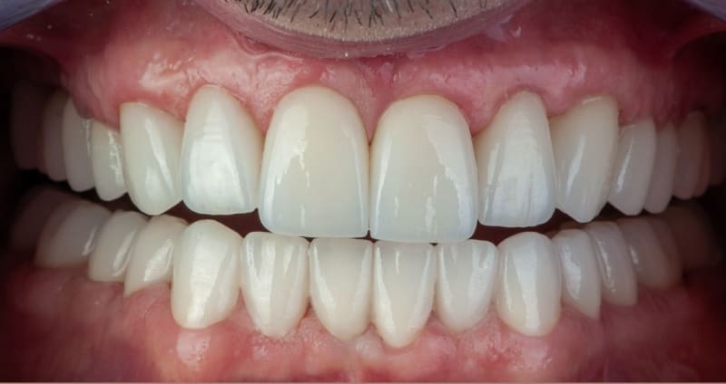
Das Komposit-Bonding ist ein Verfahren, das in der kosmetischen Zahnmedizin häufig verwendet wird, um Verfärbungen an Zähnen, Lücken zwischen den Zähnen oder Zahnschäden aus verschiedenen Gründen mit einem Kompositfüllmaterial zu reparieren, das mit der natürlichen Zahnfarbe kompatibel ist. Beim Komposit-Bonding, auch Zahn-Bonding genannt, wird das Kompositmaterial durch einen Bonding-Prozess an den Zahnoberflächen befestigt. Das Komposit-Bonding priorisiert sowohl die Zahngesundheit als auch die ästhetische Zahnmedizin. Daher ist es möglich, mit diesem Verfahren eine hellere und ästhetischere Erscheinung zu erreichen, ohne die natürliche Struktur der vorhandenen Zähne zu beschädigen.

Bei Dera Dental in Istanbul benötigen Sie für Komposit-Bonding und Veneers in der Regel einen zweitägigen Aufenthalt. Für ein komplettes Bonding empfehlen wir Ihnen je nach Ihren individuellen zahnmedizinischen Bedürfnissen eine Verlängerung Ihres Aufenthaltes auf bis zu drei Tage.

Bei Dera Dental in Istanbul kostet eine Komposit-Verklebung je nach Fall zwischen 100 und 150 € pro Zahn. Wir bieten auch Paketoptionen an – kontaktieren Sie uns für weitere Informationen!

At Dera Dental, we use premium materials and meticulous techniques in our composite bonding treatments. That’s why we offer a 12-month warranty—ensuring your smile stays beautiful and long-lasting.







Patientengruppen mit geringem bis mäßigem Substanzverlust der Zähne eignen sich für das Komposit-Bonding bei physischen und ästhetischen Problemen. Komposit-Bonding ist möglich, wenn kein schwerer Substanzverlust der Zähne vorliegt. Damit diese nicht traumatischen Verfahren den Erwartungen entsprechen, muss ein geringer bis mäßiger Substanzverlust und kein übermäßiger ästhetischer Verlust vorliegen.

Komposit-Bonding und Laminat-Veneers, die in der kosmetischen Zahnheilkunde häufig verwendet werden, sind hinsichtlich Material, Haltbarkeit und Verfahren zwei völlig unterschiedliche Anwendungen. Beim Composite-Bonding wird ein spezielles Harz auf die Zahnoberfläche aufgetragen, anschließend geformt und eventuelle Unregelmäßigkeiten ausgeglichen. Es verursacht keine Schäden am Zahn und ist in einer einzigen Sitzung abgeschlossen. Obwohl es kostengünstig ist, kann es leicht verformt werden.
Laminate Veneers sind dünne Porzellanschalen, die nach der Vermessung Ihrer Zähne im Labor individuell angefertigt werden. Bevor diese Porzellanschalen auf Ihre Zähne geklebt werden, muss Ihre Zahnoberfläche minimal abgebrochen werden. Es bietet hervorragende ästhetische Ergebnisse und kann viele Jahre lang verwendet werden, da es ein langlebiges Material ist. Kostentechnisch ist es teurer als das Composite-Bonding.
Komposit-Bonding ist ein schmerzfreier Eingriff, der in der Regel 30 bis 60 Minuten pro Zahn dauert. Folgendes erwartet Sie bei Ihrem Besuch:

Wenn der Patient eine regelmäßige professionelle Pflege und tägliche Mundhygiene sicherstellt, kann das Komposit-Bonding mindestens 5-7 Jahre problemlos verwendet werden. Mit der richtigen Pflege kann diese Dauer verlängert werden.
Komposit-Bonding ist eine einfache und effektive Lösung zur Verschönerung Ihres Lächelns, ohne dass komplizierte oder kostspielige Verfahren erforderlich sind. Im Vergleich zu anderen kosmetischen Behandlungen bietet es mehrere wichtige Vorteile:

Komposit-Bonding-Material ist nicht so fleckenbeständig wie Porzellanveneers. Zudem ist es weniger haltbar als andere restaurative Optionen (Laminatveneers und Kronen). Daher kann es mit der Zeit brechen und hat eine kürzere Lebensdauer als andere. Generell ist Komposit-Bonding die bevorzugte Lösung für kleine kosmetische Veränderungen.
Obwohl Kompositbonding zunächst günstiger erscheinen mag, können Laminatveneers aufgrund ihrer höheren Haltbarkeit und langanhaltenden Farbstabilität auf lange Sicht kostengünstiger sein.

Die Informationen auf dieser Seite dienen nur zu Informationszwecken. Die Situation jeder Person kann unterschiedlich sein; bitte konsultieren Sie für eine persönliche Beratung Ihren Arzt oder unsere Klinik.

Nein, es ist kein schmerzhaftes Verfahren, und in den meisten Komposit-Bonding-Anwendungen ist keine lokale Betäubung erforderlich.
Nein, Komposit-Bonding verursacht keinen Schaden an den Zähnen. Gleichzeitig ist es eine Behandlungsmethode, die minimale Brüche und Schäden am Zahn repariert.
Ja, Komposit-Bonding besteht aus Materialien mit Kompositbestandteilen. Das heisst,dass es kein keramikhaltiges Material ist. Mit der Zeit können Verfärbungen und Farbveränderungen auftreten. In diesem Fall sollte das Komposit-Bonding erneuert werden.
Zu vermeidende Nahrungsmittel und Getränke, um Flecken auf Ihrem Komposit-Bond zu vermeiden und seine Lebensdauer zu verlängern;
Leider kann Komposit-Bonding nicht mit Materialien hergestellt werden, die eine Aufhellung ermöglichen. Da es keine plastischen Bestandteile enthält, ist eine Farbänderung irreversibel, wenn es sich verformt. Daher können die natürlichen Zähne aufgehellt werden, die benachbarten Zähne mit Komposit-Bonding jedoch nicht. Gleichzeitig können bakterielle Plaques, die an der Oberfläche des Komposit-Bondings haften, durch Polieren oder andere Verfahren entfernt werden. Bei strukturellen Verfärbungen in Bonding-Restaurationen kann der Polierprozess die Farbe des Kompositmaterials jedoch nicht aufhellen.
Es handelt sich um eine sichere Behandlung, wenn Ihr Zahnfleisch gesund ist und Ihre Zähne nicht schwer geschädigt sind. Probleme wie Zahnfleischerkrankungen oder weit verbreitete Karies können vor dem Komposit-Bonding unterschiedliche Behandlungen erfordern. Unser Arzt wird Ihnen die besten Optionen empfehlen.

Mund-, Kiefer- und Gesichtschirurg