
Dauer
Für subperiostale Implantate müssen unsere geschätzten Patienten in der Regel 7 Tage in Istanbul bleiben. Die genaue Aufenthaltsdauer kann je nach Anzahl der eingesetzten Implantate variieren.


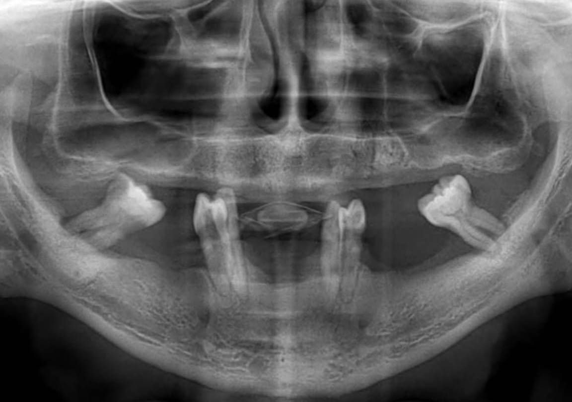
Schwerer Knochenschwund im Kiefer kann bei Patienten aus verschiedenen Gründen auftreten (Parodontalerkrankungen, Trauma, Probleme mit der Mundhygiene usw.). Bei Patienten mit fortgeschrittenem Knochenschwund ist eine herkömmliche Implantatbehandlung aufgrund unzureichenden Knochenvolumens nicht immer möglich. In solchen Fällen bieten subperiostale Implantate eine innovative und effektive Lösung.
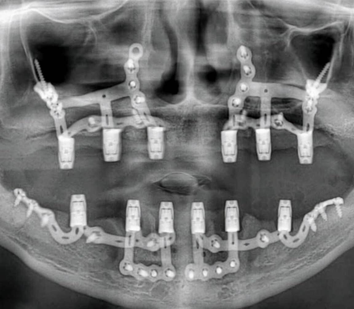
Subperiostale Implantate werden auf der Oberfläche des Kieferknochens, unter dem Zahnfleischgewebe, eingesetzt und können sowohl im Ober- als auch im Unterkiefer verwendet werden. Da sie keine Knochentransplantation erfordern, bieten diese individuell angefertigten Implantatstrukturen selbst bei minimal vorhandenem Knochen eine stabile und zuverlässige Grundlage für festsitzenden Zahnersatz.
In der Dera Dental Clinic sind wir stolz darauf, äußerst erfolgreiche subperiostale Implantatbehandlungen für Patienten mit schwerem Knochenschwund anbieten zu können. Möglich wird dies durch die außergewöhnliche Expertise unseres chirurgischen Teams, das von einem Kiefer- und Gesichtschirurgen mit über 25 Jahren Erfahrung auf diesem Gebiet geleitet wird.
Wir verwenden ausschließlich biokompatible Materialien von höchster, weltweit anerkannter Qualität und verfügen über langjährige Erfahrung in der Behandlung selbst der komplexesten Fälle.
All dies verbindet sich zu einem klaren Ziel: Ihnen ein Gefühl von Sicherheit, guter Betreuung und voller Zuversicht in die langlebigen, natürlich aussehenden Ergebnisse zu geben, die wir für Sie erzielen möchten – ganz gleich, wie herausfordernd Ihre Situation sein mag.

Für subperiostale Implantate müssen unsere geschätzten Patienten in der Regel 7 Tage in Istanbul bleiben. Die genaue Aufenthaltsdauer kann je nach Anzahl der eingesetzten Implantate variieren.

Die Preise für subperiostale Implantate liegen je nach Marke und Art der gewählten Krone zwischen 4.500 € und 22.500 €. Stellen Sie Ihr Lächeln wieder her, ohne auf die Qualität zu verzichten, die Sie verdienen.

Wir verwenden ausschließlich Implantatmarken von höchster Qualität, weshalb wir auf unsere Implantate eine lebenslange Garantie und auf Kronen eine 5-jährige Garantie bieten.
Subperiostal Implantate sind eines der Verfahren, die bei Patienten mit partiellem oder totalem Zahnverlust (Zahnlosigkeit) angewendet werden, unter Bedingungen, bei denen das Knochenvolumen nicht durch Knochenaugmentationsverfahren (Knochenaufbau) vergrößert werden kann, oder wenn Knochenaugmentationsverfahren von den Patienten nicht bevorzugt werden. Es handelt sich um individuell angefertigte Implantate. Im Gegensatz zu konventionellen Implantaten ist es kein System, das in den Knochen eingesetzt wird, sondern ein Implantatsystem, das auf der Knochenoberfläche und unter dem Weichgewebe, das die Knochenoberfläche umgibt/bedeckt und als Periost (Knochenhaut) bezeichnet wird, platziert wird.
Diese Methode bietet Patienten dank einer speziell auf dem Knochen (unter dem Periost) platzierten Titanrahmenstruktur die Möglichkeit einer festsitzenden Prothese in kurzer Zeit. Auf diese Weise können Zahnimplantatbehandlungen bei Patienten durchgeführt werden, die aus Gründen wie Parodontalerkrankungen oder Traumata einen schweren Knochenverlust erlitten haben.

Subperiostal Implantate sind eines der Verfahren, die bei Patienten mit partiellem oder totalem Zahnverlust (Zahnlosigkeit) angewendet werden, unter Bedingungen, bei denen das Knochenvolumen nicht durch Knochenaugmentationsverfahren (Knochenaufbau) vergrößert werden kann, oder wenn Knochenaugmentationsverfahren von den Patienten nicht bevorzugt werden. Es handelt sich um individuell angefertigte Implantate. Im Gegensatz zu konventionellen Implantaten ist es kein System, das in den Knochen eingesetzt wird, sondern ein Implantatsystem, das auf der Knochenoberfläche und unter dem Weichgewebe, das die Knochenoberfläche umgibt/bedeckt und als Periost (Knochenhaut) bezeichnet wird, platziert wird.
Diese Methode bietet Patienten dank einer speziell auf dem Knochen (unter dem Periost) platzierten Titanrahmenstruktur die Möglichkeit einer festsitzenden Prothese in kurzer Zeit. Auf diese Weise können Zahnimplantatbehandlungen bei Patienten durchgeführt werden, die aus Gründen wie Parodontalerkrankungen oder Traumata einen schweren Knochenverlust erlitten haben.

Subperiostal Implantate sind eine ideale Option in folgenden Situationen:


Subperiostal Implantate sind eine ideale Option in folgenden Situationen:
1. Digitales Scannen und Planung
Es wird eine 3D-tomographische Aufnahme des Kieferknochens gemacht.
Anhand dieser Aufnahme wird die Knochenoberfläche millimetergenau modelliert.
Die Skelettstruktur des Subperiostaln Implantats wird individuell mit CAD/CAM-Technologie entworfen.
2. Herstellung (Titanstruktur)
Der Entwurf wird im Labor aus Titan mit einem dreidimensionalen Drucker (3D-Drucker) hergestellt.
Diese Struktur wird so vorbereitet, dass sie zu 100% mit der Kieferanatomie des Patienten kompatibel ist.
3. Chirurgische Anwendung
Obwohl die Operation unter lokaler Anästhesie durchgeführt werden kann, wird im Allgemeinen die Vollnarkose häufiger bevorzugt.
Der Chirurg verschafft sich Zugang unter das Zahnfleisch (Gingiva) und fixiert das Implantatskelett auf der Knochenoberfläche.
Die „Abutments“ (Implantataufbauten), an denen die Zahnprothesen befestigt werden, sind meist bereits mit der Implantateinheit verbunden. Der chirurgische Eingriff wird durch das Anbringen von Einheilungskappen (Heilkappen) an diesen Einheiten abgeschlossen.
4. Prothetische Phase
Kurze Zeit nach der Fixierung des Implantatskeletts wird dem Patienten die festsitzende Prothese (Brücke oder Vollbogenrestauration) eingesetzt.
Es ist in der Regel möglich, innerhalb von 2–3 Wochen dauerhaft festsitzende Zähne zu erhalten.


Subperiostal Implantate und Zygoma-Implantate sind zwei unterschiedliche Lösungen, die eine Implantation bei Patienten mit erheblichem Knochenverlust ermöglichen.
Das Subperiostal Implantat ist eine spezielle Metallstruktur, die auf dem Kieferknochen, unterhalb des Zahnfleischrands, platziert wird. Diese Methode ist ideal für Patienten mit sehr geringem oder keinem Knochenvolumen. Das chirurgische Verfahren ist im Vergleich zum Zygoma-Implantat einfacher; die Heilung ist in der Regel innerhalb von 2–3 Wochen abgeschlossen, und der Patient kann in kurzer Zeit neue Zähne erhalten. Der postoperative Komfort ist hoch und die Schmerzen sind minimal.
Das Zygoma-Implantat hingegen ist ein langer Implantattyp, der im Jochbein (Zygomatikknochen) platziert wird. Es wird insbesondere bevorzugt, wenn der Knochenschwund in den hinteren Bereichen des Oberkiefers weit fortgeschritten ist. Diese Operation ist umfangreicher, und die Heilungsdauer beträgt in der Regel 4–6 Monate. In der postoperativen Phase können kurzzeitige Schwellungen und Unbehagen auftreten.
Die Kosten für ein Subperiostals Implantat in der Türkei variieren zwischen 4.500 Euro und 22.500 Euro. Die Kosten für Subperiostal Implantate ändern sich je nach Komplexität des Falles und der Anzahl der benötigten Implantate.
Individuell hergestellte Subperiostal Implantate sind aufgrund der speziellen Anfertigung des Metallrahmens und des komplexeren chirurgischen Eingriffs teurer als endostale Implantate.


Die Kosten für ein Subperiostals Implantat in der Türkei variieren zwischen 4.500 Euro und 22.500 Euro. Die Kosten für Subperiostal Implantate ändern sich je nach Komplexität des Falles und der Anzahl der benötigten Implantate.
Individuell hergestellte Subperiostal Implantate sind aufgrund der speziellen Anfertigung des Metallrahmens und des komplexeren chirurgischen Eingriffs teurer als endostale Implantate.
Die Informationen auf dieser Seite dienen nur zu Informationszwecken. Die Situation jeder Person kann unterschiedlich sein; bitte konsultieren Sie für eine persönliche Beratung Ihren Arzt oder unsere Klinik.

Ja. Das klassische Implantat wird in den Knochen eingesetzt, während das Subperiostal Implantat auf der Knochenoberfläche befestigt wird.
Ja. Dank dieses Systems kann auch bei geringem Knochenvolumen eine festsitzende Prothese angefertigt werden.
Ja, da das Titanskelett direkt auf der Knochenoberfläche aufliegt, ist es sehr stabil und langlebig.
Normalerweise heilt das Weichgewebe innerhalb von 7–10 Tagen. Die dauerhafte Prothese kann innerhalb von 2–3 Wochen eingesetzt werden.
Falls der Eingriff unter lokaler Anästhesie durchgeführt wurde;
Falls der Eingriff unter Vollnarkose durchgeführt wurde;
Unabhängig davon, ob der Eingriff unter lokaler Anästhesie oder Vollnarkose stattfindet, verspürt der Patient nach den Eingriffen Schmerzen, die mit Schmerzmitteln leicht unter Kontrolle gebracht werden können. Es kann zu leichten Schwellungen oder Empfindlichkeiten kommen, die einige Tage nach der Operation andauern können; dies ist normal.
Bei angemessener Mundhygiene und regelmäßigen Kontrollen kann es mehr als 10 Jahre halten. Da seine Metallstruktur aus Titan gefertigt ist, ist es körperverträglich (biokompatibel) und langlebig.
Ja, da die Zähne individuell gestaltet werden, wird ein natürliches Aussehen erzielt. Es liefert erfolgreiche Ergebnisse, insbesondere bei Patienten, die eine Lächelästhetik anstreben.
Nein. Da Subperiostal Implantate eine fortgeschrittene Chirurgie und digitale Planung erfordern, müssen sie von erfahrenen Mund-, Kiefer- und Gesichtschirurgen angewendet werden. Daher wird es nicht in jeder Klinik angewendet; es erfordert spezielle Ausrüstung und Fachwissen.

Mund-, Kiefer- und Gesichtschirurg