



The technique of attaching a prosthetic structure to four implants placed in a single jaw in cases of complete edentulism is called All-on-4, All-on-Four, or All-in-Four. The prosthetic structure is secured to the four implants with screws. In this system, the shortened-arch technique is preferred, meaning that each prosthesis typically contains 10 to 12 teeth.
In Dera Dental Clinic, our experienced oral surgeons use high-quality and A(+) class implants such as Straumann. Our Dental implant procedures are 99% successful, where advanced surgeries are frequently performed on patients with insufficient bone volume. In addition to using high-quality implants, a must for successful dental implant treatments, another essential factor is undoubtedly a precise and successful surgical procedure. This is performed in our clinic by experienced and well-equipped doctors.

For All-on-4 dental implant treatment, our valued patients are required to visit Istanbul twice. Each visit typically involves a stay of 3 to 5 days.

Our prices range from €3.500 to €4.500, depending on the brand and type of crown you choose. Restore your smile without compromising on the quality you deserve.

We use only the highest quality dental implant brands, which is why we offer a lifetime warranty on our implants and a 5-year warranty on crowns.





All-On-4 Per Jaw
All-On-4 Per Jaw
All-On-4 Per Jaw
All-On-4 Per Jaw






With over 25 years of experience, we have been extensively applying All-on-4 dental implant systems in our clinic. Given the short treatment duration from start to finish and the 100% patient satisfaction results, combined with the ease of travel to Turkey, our clinic is the right destination for the application of All-on-4 systems.
Together with our team of experienced doctors and our highly skilled dental laboratory staff, we ensure that the treatment is completed with maximum patient comfort.

With over 25 years of experience, we have been extensively applying All-on-4 dental implant systems in our clinic. Given the short treatment duration from start to finish and the 100% patient satisfaction results, combined with the ease of travel to Turkey, our clinic is the right destination for the application of All-on-4 systems.
Together with our team of experienced doctors and our highly skilled dental laboratory staff, we ensure that the treatment is completed with maximum patient comfort.

In Turkey, we typically recommend the All-on-4 treatment for patients who are completely edentulous (have no teeth) or have only a few remaining teeth, especially when there is significant bone loss in the posterior regions of the jaw. Additionally, the All-on-4 system is a cost-effective alternative for patients who may not be able to afford full-mouth restoration with 12 individual implants. With just 4 implants per jaw (8 in total), this approach provides a stable and functional solution at a more accessible price point.
In Turkey, we typically recommend the All-on-4 treatment for patients who are completely edentulous (have no teeth) or have only a few remaining teeth, especially when there is significant bone loss in the posterior regions of the jaw. Additionally, the All-on-4 system is a cost-effective alternative for patients who may not be able to afford full-mouth restoration with 12 individual implants. With just 4 implants per jaw (8 in total), this approach provides a stable and functional solution at a more accessible price point.
First and foremost, our patient must have a medical history that does not present any obstacles to oral surgery and must have completed their developmental growth. Additionally, the jaw where the All-on-Four system is planned to be applied should be either completely edentulous or have an indication for total tooth extraction.
However, if the posterior teeth in either the upper or lower jaw are present and healthy, the All-on-Four system can also be applied to the areas between the premolars.

First and foremost, our patient must have a medical history that does not present any obstacles to oral surgery and must have completed their developmental growth. Additionally, the jaw where the All-on-Four system is planned to be applied should be either completely edentulous or have an indication for total tooth extraction.
However, if the posterior teeth in either the upper or lower jaw are present and healthy, the All-on-Four system can also be applied to the areas between the premolars.

All-on-4 dental implant systems require at least 2 visits. For each visit, a period of 3-5 days is typically sufficient to complete the treatment processes. The first visit involves the implant surgery and the placement of the temporary prosthetic structure. The permanent prosthetic structure is completed during the second visit.

All-on-4 dental implant systems require at least 2 visits. For each visit, a period of 3-5 days is typically sufficient to complete the treatment processes. The first visit involves the implant surgery and the placement of the temporary prosthetic structure. The permanent prosthetic structure is completed during the second visit.

When there is sufficient bone volume, no additional surgical procedures are required for All-on-4 systems. In fact, for the vast majority of our patients, we do not perform any extra or supplementary surgical procedures for All-on-4 systems. However, if deemed necessary, one or more of the following additional surgical procedures may be carried out by our specialist doctors:
Autogenous Block Graft Techniques


When there is sufficient bone volume, no additional surgical procedures are required for All-on-4 systems. In fact, for the vast majority of our patients, we do not perform any extra or supplementary surgical procedures for All-on-4 systems. However, if deemed necessary, one or more of the following additional surgical procedures may be carried out by our specialist doctors:
Autogenous Block Graft Techniques
The information on this page is for informational purposes only. Each individual’s situation may vary; please consult your doctor or our clinic for personalized advice.

Both systems are used for the rehabilitation of missing teeth, and the implants placed within the bone are the same. The difference lies in the variation of the prosthetic structure and the prosthetic abutments applied on top of the implants. Regular dental implants are preferred for single or multiple partial edentulous cases. All-on-4 systems are used for complete edentulous. Moreover, one of the most important advantages of All-on-4 systems is that they rarely require additional surgical procedures involving bone grafting and have a much shorter treatment duration.
All-On-4 systems, like other implant applications, are painless surgical procedures under local anesthesia. In fact, none of the implant applications are painful procedures under local anesthesia. With sufficient and appropriately applied local anesthesia, implants are safely and painlessly placed into the bone. Following implant placement, including taking conventional and digital measurements for prosthetic procedures, patients do not experience any pain during the stages of temporary and permanent prosthesis fabrication. At the same time, through certain precautions taken both during and after the surgical procedure, our patients do not experience post-operative pain and this period is passed quite comfortably.
The maintenance of All-on-4 implant systems and regular dental implant care are not different. Daily routine care along with periodic professional maintenance by a dentist is crucial for the long-term success and use of implants and implant-supported prosthetic structures. The daily care recommended for patients can be listed as follows;
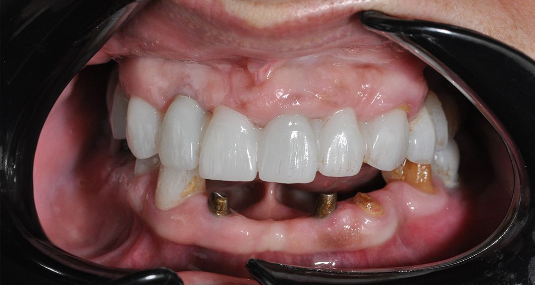
Prosthetic structures adapted to All-on-4 dental systems are fixed and cannot be removed by the patient. The prosthetic structure is connected to the dental implants with a special screw system, and the screw access channel is sealed with composite materials by expert dentists to prevent loosening and food accumulation. In cases where removal is necessary, it must be done by specialized healthcare professionals.
We anticipate a minimum 20-year lifespan for All-on-4 dental implant systems when professional medical care is combined with daily patient maintenance. However, the use of harmful substances can negatively impact this duration.
Some potential disadvantages of All-on-4 systems include;
On the day dental implants are placed, a fixed temporary prosthesis is adapted, and patients are advised to avoid consuming hard foods for approximately 2 months.
Due to the principle of shortened dental arch, a pair of teeth is intentionally omitted from the back. While this may seem like a disadvantage, scientific studies have shown that chewing function primarily relies on the premolars. Therefore, patients with a shortened dental arch do not experience significant difficulty in chewing.
Due to tooth loss, lost smiles are regained, allowing our patients to express themselves with confidence and continue their lives with new smiles.
Phonation is provided alongside aesthetic gain.
Because they are fixed, the chewing function becomes much more comfortable compared to removable prostheses.
These are systems with screws, they are much easier to remove when disassembly is necessary compared to cemented (adhered) fixed prostheses.
Advanced surgical procedures such as bone grafting and sinus lifting are generally not necessary.
Individually, ceramic restoration procedures are much more economical compared to multiple implant applications.
They are completed much faster than regular implant systems.
The initial retention obtained during the placement of dental implants is the mechanical retention between the bone tissue and the surface grooves. This mechanical retention is referred to as primary stability. If primary stability is at the desired level, a fixed temporary prosthesis can be placed on the dental implants on the same day. After this process, at least a 2-month period is required for the osseointegration, the fusion between the implant and the bone. This biological integration, called osseointegration, ensures that the dental implant is accepted by the body.
Additionally, another healing process occurs in the soft tissues. The soft tissue healing time after implant surgery is at least 21 days. The formation of keratinized soft tissue around the implant is particularly important for the long-term success of the implant. Complete epithelialization (formation of soft tissue) and keratinization (formation of keratin tissue in the soft tissue) takes about 3 weeks.

Oral and Maxillofacial Surgeon