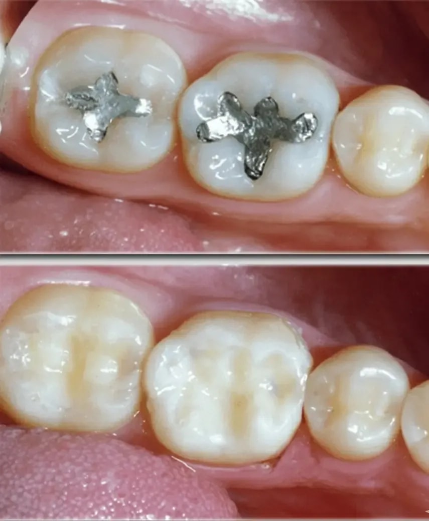
While conventional dentistry focuses primarily on solving local problems, biological dentistry evaluates the effects of materials, procedures, and the treatment process on the immune system, hormonal balance, and systemic health.
Written By

Dr. Ali İlker Baştan
Oral and Maxillofacial Surgeon







